Journal of Entomology and Zoology Studies
Volume 1, Issue 4
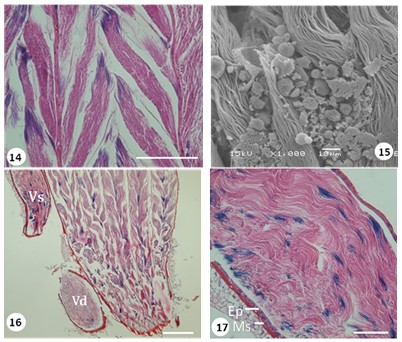
Morphology and Histology of the Male  Reproductive System in Graphosoma  lineatum (Heteroptera: Pentatomidae) Based on Optical and Scanning Electron  Microscopy
                
          
Related Graphics:





Download Full Article : Click Here

